当前位置:主页 > 牙齿正畸 > 牙列不齐 >
美莱韩式无痕正牙术 让我重新拥有一个快乐生活
时间:2016-07-15 16:25 在线预约 | 在线咨询
   在这里我想说的是,牙槽前突确确实实是影响到了我们的形象、生活等方方面面,看着长着牙槽前突的自己有时候恨不得这世界上没有镜子这件事。但是,照镜子又是每一个女人的至爱,如何从对镜子爱不释手变成厌恶照镜子呢!
  姓名:卢小姐
  职业:财务
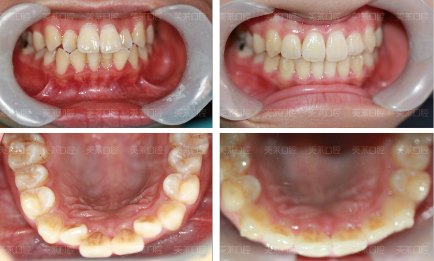
  术前症状:牙槽骨突出增生
  接受手术:美莱韩式正牙

 

 
  卢小姐自小就患有牙槽前突,小时并没有在牙齿上过于留意,生活一向自信、开朗的她从来都不觉得自己哪里比别人差。工作有不错的薪水,拥有一个幸福的家庭,这是很多人都羡慕不来的。可是,幸福的人还说有不的事情发生。有一次,卢小姐跟三两朋友出门逛街买衣服,一路上说说笑笑每个人都奔着自己的目标而去。
  当她们踏进一家服装店的时候,销售员用鄙夷的眼神看了看卢小姐,没有多说半句,但是在卢小姐试衣服的时候销售员并没有很热情的招呼她,但是对她的几个朋友倒是多了几分热情!卢小姐就这样被晾在一边。这样也就算了,当卢小姐想换码数的时候,销售员只是冷冷扔给她一句话,那边有其他款式的,你自己去拿可以吗?我这边有点忙不过来......
  就这样,本来想好好来一个周末购物大扫荡的,却因为这样把卢小姐的所有热情都浇灭了,一直以来卢小姐至在意的就是她的牙齿,她深信拥有一个成功的事业远远比拥有一个漂亮的脸蛋来得愈加实在,所以一直把所有的精力都放在工作上,没想到结果还是要面对现实。没有一口好看的牙齿连想要一个人缘都是那么的难!
  在往后的日子里,卢小姐失落了好久,越发觉得自己的牙槽骨很凸,看人的样子又有点凶恶的眼神,整个画面显得非常不自然。看着镜子里失落的自己像是突然老了好多,为什么努力了那么久还是被打回“原形”?如此一来,一直用事业伪装自己自卑的她又开始陷入迷茫的漩涡里。后来,卢小姐通过网络各种渠道了解到了深圳美莱口腔的韩式外科正牙术可以快速有效地矫正与牙齿、上下牙槽骨发育有关的畸形和缺陷,特别适合成年人以及口腔矫治器难以纠正的严重牙列和颌面畸形。再把网上的相关案例跟自己的龅牙症状对照了一下才下决心想整牙。>> 点击在线咨询了解更多牙齿问题

 

 
  其实,卢小姐的五官长得还是很不错的,就是因为牙槽骨突出扭曲了整体上的美感,现在卢小姐已经做完手术了,当我们看到做完手术的她样子跟变了魔术似的,鹅蛋脸是每一个爱美人士都想拥有的,而卢小姐很成功的拥有了。通过美莱韩式正牙,只是1小时的手术时间,便看到了预期中的改造效果;消肿恢复之后,面容形态完全显露,美观协调的容貌让她的整体气质也上了一个层次,标准的笑容给她的形象加分,眼睛里时刻都闪耀自信的光芒,希望在以后的日子里卢小姐的生活、工作能够愈加如鱼得水。
分享到:
深圳美莱医疗美容医院 • 一家专注口腔健康与美丽的医院
全国免费预约热线:400-801-8088
QQ在线咨询:8006688999
来院地址:深圳市福田区深南中路2050号华南电力大厦234层
粤ICP备14024678号-1 (粤)(深)医广【2015】第04-09-072号 深圳美莱口腔 版权所有