大家都知道牙齿的重要,牙齿的缺失、不齐不仅影响美观,严重的影响身体健康。很多人选择烤瓷牙,那么,做烤瓷牙会影响牙齿的功能吗? 》》》点击咨询医生,烤瓷牙的效果好吗?

烤瓷牙的原理:
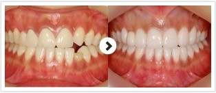
烤瓷牙是在所需镶牙的部位先用高强度合金制做金属帽,然后再金属帽的表面烤上一层与天然牙色泽相近的牙粉,后粘接到口腔内事先磨好的牙齿上。有着坚固耐磨,色泽美观、逼真、生物相容性良好,对口腔组织无不良刺激,易清洁等优点。
做烤瓷牙会影响牙齿的功能吗?
深圳美莱医生介绍,制作烤瓷牙需要磨除一些牙体组织,有些患者为了这个会有点害怕;其实医生磨去的只是凹凸不平、已经伤痕累累的牙釉质而不是牙本质,因此不会伤害牙齿,反而是给牙齿穿上坚固的“防弹衣”,让它避免受到外界细菌的侵害,这样不仅可以恢复牙齿的美观,也不影响原有的咀嚼功能。 》》》点击咨询医生,美莱做烤瓷牙价格
美莱医生温馨提示:装烤瓷牙要注意牙齿颜色和皮肤颜色的协调、牙齿外形要与形体五官大小比例协调,这都需要有专业而富有经验的机构才能完成,不能因为贪便宜就找路边诊所去做,否则可能带来更多麻烦。当然,烤瓷牙也和普通牙一样,需要一定的保养和爱护,有了牙周病要及时治疗、防止牙龈萎缩。只要做到这几点,一辈子有口好牙就不成问题了。

365天无假日医院

24H免费咨询热线